Cosmetic Dentistry in Bradenton, FL
Your smile is one of the first things people notice — and at Oneco Smiles, we’re here to help you love it. Whether you’re looking for a subtle enhancement or a dramatic transformation, our cosmetic dentistry services are personalized to help you feel confident, comfortable, and proud of your smile.
We offer gentle, affordable treatments that blend art and science for natural-looking results. No pressure, no judgment — just solutions that fit your goals and lifestyle.
What Is Cosmetic Dentistry?
Cosmetic dentistry focuses on improving the appearance of your teeth, gums, and overall smile. From brightening stained enamel to reshaping uneven teeth, it combines aesthetics and function to help you look and feel your best.

Zoom® In-Office Whitening
If you’re looking for fast, noticeable whitening results, our in-office Zoom® treatment can brighten your smile by several shades in just one appointment. Using professional-strength gel and a specialized LED light, Zoom® safely lifts deep stains caused by coffee, tea, wine, aging, and everyday habits.
- Safe, dentist-supervised whitening
- Fast results in a single visit
- Ideal before holidays, photos, or special events
- More powerful than over-the-counter whitening products
At Home Whitening
Years of coffee, tea, wine, and everyday life can dull your smile — but that doesn’t mean it has to stay that way. Our prescription strength at home treatments safely lift stains and restore brightness, often in just a few applications.
- Safe, dentist-supervised whitening
- Noticeable results — fast
- Take-home option - conveniently whiten at home


Veneers
If you’re bothered by chips, gaps, discoloration, or slightly crooked teeth, veneers offer a fast and long-lasting solution. These ultra-thin porcelain shells are bonded to the front of your teeth to create a flawless, natural look.
- Custom-designed for shape, color, and size
- Minimally invasive treatment
- Durable and stain-resistant
Cosmetic Bonding
For small imperfections like chips, cracks, or uneven edges, cosmetic bonding is a simple and cost-effective way to reshape your teeth. Using a tooth-colored resin, we can restore symmetry and improve aesthetics in a single visit.
- Minimally invasive/ conservative
- Completed in one appointment
- Color-matched for a seamless look

Clear Aligner Therapy
Clear aligners offer a comfortable, discreet way to straighten your teeth without brackets or wires. As an Invisalign® provider, we use custom-designed trays that gradually move your teeth into a healthier, more aligned position — perfect for adults and teens looking for a low-profile orthodontic option.
- Nearly invisible — no metal brackets or wires
- Removable for eating, brushing, and special occasions
- Comfortable fit with smooth, custom trays
- Great for correcting crowding, gaps, and minor bite issues
Smile Makeovers
Looking for a full smile transformation? A smile makeover combines multiple cosmetic treatments to enhance your entire appearance. Whether you need whitening, bonding, veneers — or all three — we’ll build a plan that fits your goals and budget.
- Completely customized to your needs
- Treatment plans built around your lifestyle
- Includes a consultation to explore your options

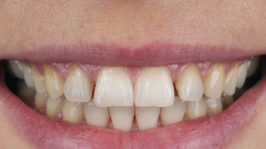
Before and After Images of Cosmetic Dentistry Work








Why Choose Oneco Smiles for Cosmetic Dentistry?
- Friendly, pressure-free approach to treatment
- Conservative care with a focus on your comfort
- Spanish-speaking staff available
- Affordable treatment options and flexible plans
Serving Bradenton & Oneco
At Oneco Smiles, cosmetic dentistry is about more than looks — it’s about feeling great when you smile, laugh, or speak. If you’ve been hiding your smile, let’s change that together.
Call (941) 758-3999 or request an appointment to get started.




